other
Новости
Expanding Our Special Staining Portfolio: New Products Now Available! 2026-03-23

We are pleased to announce the addition of two new special staining kits to our product line, further enhancing our comprehensive portfolio of histology solutions. Building on the success of our existing five special staining products, these new kits are now available to support your diagnostic and research applications with the same commitment to quality and reliability.

New Product Highlights:

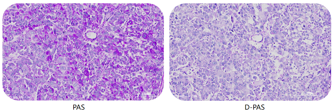
Periodic Acid-Schiff (PAS) Stain Kit

· Clinical Applications: Detects glycogen, mucin, and fungal cell walls; commonly used in diagnosing glycogen storage diseases, fungal infections, and certain tumors such as hepatocellular carcinoma or renal cell carcinoma.

· Product Features: Ready-to-use reagents with standardized protocols for consistent results; high sensitivity and specificity; optimized for formalin-fixed, paraffin-embedded (FFPE) tissues; stable formulation with extended shelf life.

Periodic Acid-Schiff (PAS) Diastase Kit

· Clinical Applications: Differentiates glycogen from other PAS-positive substances through enzymatic digestion; essential for confirming glycogen-containing lesions or excluding glycogen in diagnostic samples.

· Product Features: Complete kit with all necessary components for streamlined workflow; ensures precise glycogen differentiation; compatible with routine histology procedures.

Explore these new additions to our special staining range and experience superior performance with every test. For more information or to place an order, please contact our sales team.

Whatsup: +8613400656163

Email: cw@talentbiomedical.com; talent.biomedical@outlook.com

Оставить сообщение

Оставить сообщение
Если вы заинтересованы в наших продуктах и ​​хотите узнать больше деталей, пожалуйста, оставьте сообщение здесь, мы ответим вам как можно скорее.

Дом

Продукты

о

контакт