other
Продукты
ЭБЕР ИШ

ЭБЕР ИШ

ВЭБ-зонд

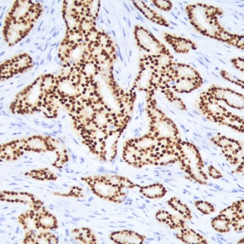
Вирус Эпштейна-Барра (EBV), также известный как вирус герпеса человека 4, является членом семейства вирусов герпеса. Это был первый обнаруженный онкогенный вирус. Заражение этим вирусом может иметь признаки легкой вирусной инфекции или может проявляться как инфекционный мононуклеоз. Наиболее распространенными клетками-мишенями для вируса Эпштейна-Барр являются В-лимфоциты и эпителиальные клетки носоглотки. Вирус Эпштейна-Барра массово поражает человеческую популяцию, и сероэпидемиологические исследования показывают, что 90% взрослых инфицированы этим вирусом. Существует множество опухолей человека, связанных с ВЭБ. Они варьируются от недифференцированной карциномы носоглотки до африканской лимфомы Беркитта , лимфомы Ходжкина .при смешанноклеточном заболевании, некоторых В-, Т- и NK-лимфомах, а также при лимфопролиферативных процессах, связанных с иммунодефицитом.  Зонд EBV предназначен для качественного обнаружения РНК EBER вируса Эпштейна-Барра человека (EBV) в фиксированных формалином и залитых парафином образцах с помощью хромогенной гибридизации in situ (CISH) . На положительную реактивность РНК EBER вируса Эпштейна-Барр (EBV) в клетках-мишенях указывает отчетливо окрашенное ядро. Окрашенные осадки, которые можно четко отличить от фона, будут темно-коричневыми при использовании DAB для обнаружения.

# Оставить сообщение
Если вы заинтересованы в наших продуктах и ​​хотите узнать больше деталей, пожалуйста, оставьте сообщение здесь, мы ответим вам как можно скорее.
представлять на рассмотрение
#
сопутствующие товары
Посмотреть больше
Каппа ИШ Kappa ISH Kappa light chains in situ hybridization
Зонд легкой цепи Каппа
Histology and Cytology Slide Racks Histology and Cytology Machine Slide Racks
Talent’s Machine Slide Racks, installed by manufacturers around the World, offer laboratory managers a cost-effective solution substantially below other manufacturers’ prices. Engineered to world class standards from a Polyceramic process developed in our workshops, our racks are extremely rigid and highly resistant to solvents up to 200°C. Just drop one on concrete and hear the difference!
Реагент антител D2-40 для иммуногистохимии D2-40 Antibody Reagent for Immunohistochemistry
D2-40 Реагент антитела — Первичное антитело
Реагент антител к синаптофизину для иммуногистохимии Synaptophysin Antibody Reagent for Immunohistochemistry
Реактив антител к синаптофизину — Первичное антитело

Оставить сообщение

Оставить сообщение
Если вы заинтересованы в наших продуктах и ​​хотите узнать больше деталей, пожалуйста, оставьте сообщение здесь, мы ответим вам как можно скорее.

Дом

Продукты

о

контакт